(2020.08更新)
主訴最近半年腰痛的厲害,體重下降30%大約有一年了。她一直以為是肌肉拉傷,曾經去過中醫去做針灸,但是沒有什麼效果。
「您的腰痛是哪一種痛呢?悶痛?刺痛?絞痛?發作頻率為何?」
B:大部分是悶悶的痛,一直持續著,而且最近有越來越痛的現象....
在經過一系列的檢查檢驗之後,答案漸漸的明朗起來...雖然腰痛的可能情況很多種,但是這位B太太是我最不想預見的答案,而我必須沉重的跟她宣布這個消息
「您的電腦斷層報告出來了,跟您說明一個消息...」
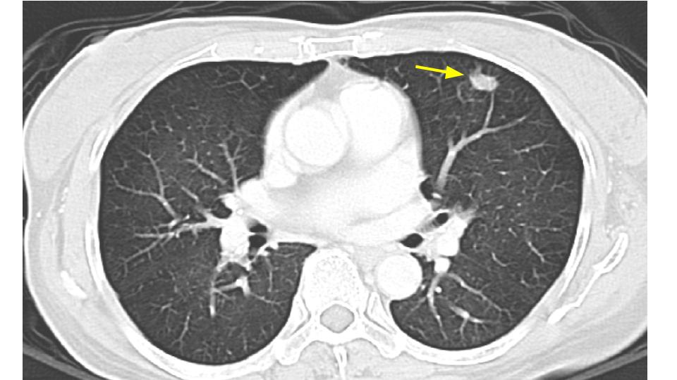
原來,這位B太太罹患的是一個 右側8.5公分腎臟腫瘤,並且可能有單一肺部轉移
「醫師,這個很嚴重嗎?要怎麼治療?治療有沒有什麼後遺症?」
類似B太太的情況,其實很多病友也有一樣的疑惑,而且只會多不會少。以下列出幾個常見的問題:
腎臟癌治療主戰場: 手術治療
針對腎臟癌的各種療法,不外乎一個原則:把原發腫瘤控制住...而最直接而且乾淨的方式就是手術切除。切除的目標是腫瘤,甚至還有腫瘤的附屬可能轉移處(如果可以切除的話),包含術中肉眼可見的淋巴結、單一的遠端肺轉移.......等。
可以只切掉腫瘤,而保留腎臟嗎?
第一期的腎臟癌是可行的。施行的手術方法是"部分腎切除"。然而,要去做這種高難度的手術,還是需要各個大型醫院裡的專科團隊去合作(比如說:術前需要泌尿專科來評估腎臟腫瘤周邊的血管狀況,手術時候麻醉專科也要隨時緊盯切除腫瘤時的失血狀況...)。此外,腫瘤大小、腫瘤侵犯腎臟的深度、腫瘤和血管的位置......種種因素綜合評比之後,適合的病患才會進行部分腎切除。目前以達文西機器人輔助式手術來進行部分腎臟切除,是最常見的選擇。優點是手術視野較清晰(3D),失血量較少,可以進行複雜腫瘤的手術,甚至可以保留較多腎臟功能。然而,病患是否適合達文西手術,需要泌尿科專家團隊詳細評估。
不想開刀,可以有其他治療方法可以選擇嗎?
目前可以選擇的非手術治療方式,包含冷凍治療(cryoablation)或者射頻腫瘤燒灼(Radiofrequency Tumor Ablation簡稱 RFA)。可以用經皮穿刺(percutaneous)或者是腹腔鏡(laparoscopic)的方式都可以。好處:可以減低手術風險,適用年紀太大、或者很多共病、或者腫瘤很小的病患。壞處:健保給付只給付第一支針的費用,其餘需要自費;而且若需健保給付,要先做切片病理確診腎臟細胞癌,而切片的經皮路徑依然可能有腫瘤擴散(seeding)的風險。另外一個壞處是,根據一個小型的研究顯示,比較部分腎臟切除和射頻腫瘤燒灼的病患,發現後者有比較高的局部復發機率。
如果轉移了,拿掉腎臟和腎臟腫瘤對病情有幫忙嗎?
這即是進行腎臟全切除術(減積手術, cytoreductive nephrectomy)。有整合分析研究(meta-analysis study)顯示,如果符合治療條件,再加上標靶治療(target therapy)比起單用標靶治療,對存活率是有幫忙的。前提是: 當轉移的數量是單一或者是寡量,經過評估之後是可切除的(resectable)。適合的病患族群是:大的腫瘤體積,少量的轉移目標,加上病人身體狀況不錯即可評估是否可以施行減積手術。如何預防腎臟癌?
肥胖和抽菸是公認腎臟細胞癌的危險因子。因此歐洲泌尿科醫學會治療指引,建議減重以及戒菸來預防腎臟癌。(不論您是病友或者有興趣的讀者,都非常歡迎您轉寄這篇文章;本文章將會根據最新的醫學研究與現況,做不定期的更新)
大宜蘭區泌尿腫瘤專業門診由此去


